当院を初めて利用される方・美容整形・美容外科が症例写真 - よだ形成外科クリニック【形成外科・美容外科・美容皮膚科 】

ご予約・相談

  • LINE@
  • Instagram
  • x

【診療日】 平日 9:30~12:30/14:00~18:30 土日9 :30~17:30 【休診日】 水、祝祭日、第1・3・5日曜日

症例写真

FACE

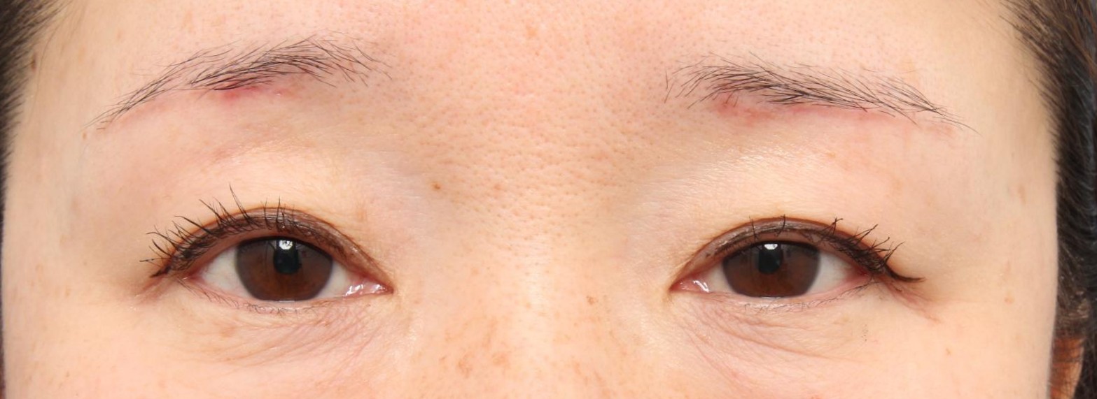
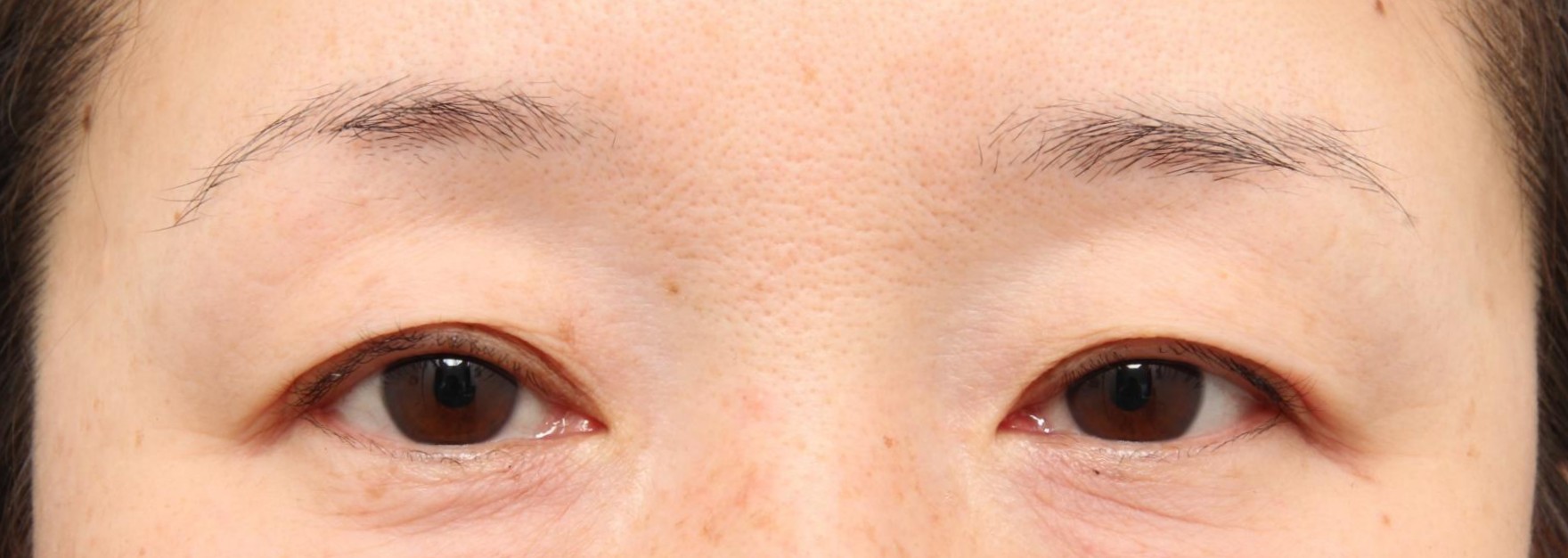
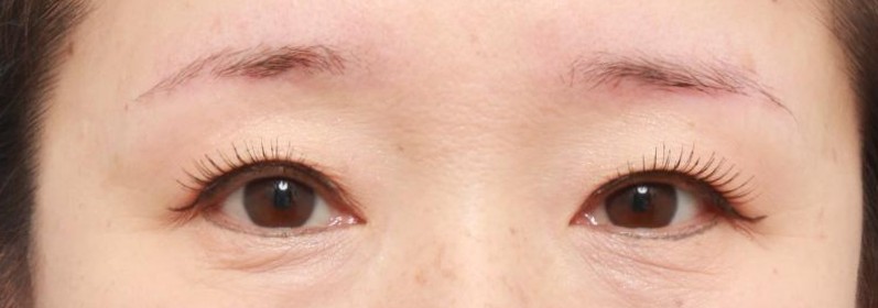
眠そうな目の状態がまぶたもはっきりして、明るい印象に。

公開日:2026.02.18

施術前施術前
施術後施術後
治療名 眉毛下リフトアップ術(眉毛下皮膚切除術)
治療内容 厚いまぶたのせいで、目がパッチリ開いていないように見える
眉下から皮膚を取り去り上眼瞼の開きを改善させる手術を行った
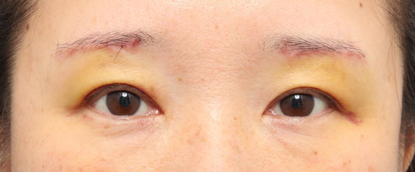
リスク 術後は腫れや内出血、傷の赤みが生じる可能性あり
費用 420,000円(税込、両側)2026年 2月現在
  • 術前 開眼術前 開眼
  • 術前 閉眼術前 閉眼
  • 術後1週間 開眼術後1週間 開眼
  • 術後1週間 閉眼術後1週間 閉眼
  • 術後5ヶ月 開眼術後5ヶ月 開眼
  • 術後5ヶ月 閉眼術後5ヶ月 閉眼
  • 術後1年 開眼術後1年 開眼
  • 術後1年 閉眼術後1年 閉眼

page uppage up