【診療日】 平日 9:30~12:30/14:00~18:30 土日9 :30~17:30 【休診日】 水、祝祭日、第1・3・5日曜日
公開日:2026.03.18

before

after
| 治療名 | BARBⅡアンカー |
|---|---|
| 治療内容 | "BARBⅡアンカーを片側5本使用 もみあげ内より、ほうれい線、マリオネットライン、下顎角部に糸を挿入し、用手的に引き上げ、糸をカットして皮内に埋入輪郭の改善とマリオネットラインの引き上げ効果が得られた" |
| リスク | 一時的な引きつり、一時的な内出血の可能性、左右差、感染など |
| 費用 | BARBⅡアンカーセット(5本×2セット)¥346,500(税込) ※2026年 3月現在 |
公開日:2026.03.18

before

after
| 治療名 | BARBⅡ アンカーセット |
|---|---|
| 治療内容 | BARBⅡアンカーを片側5本使用 もみあげ内より、ほうれい線、マリオネットライン、下顎角部に糸を挿入し、用手的に引き上げ、糸をカットして皮内に埋入輪郭の改善とマリオネットラインの引き上げ効果が得られた |
| リスク | 一時的な引きつり、一時的な内出血の可能性、左右差、感染など |
| 費用 | BARBⅡアンカーセット(5本×2セット)¥346,500(税込) ※2026年 3月現在 |
公開日:2026.02.18

before

after
| 治療名 | BARBⅡ アンカーセット |
|---|---|
| 治療内容 | BARBⅡアンカーを片側5本使用 もみあげ内より、ほうれい線、マリオネットライン、下顎角部に糸を挿入し、用手的に引き上げ、糸をカットして皮内に埋入輪郭の改善とマリオネットラインの引き上げ効果が得られた |
| リスク | 一時的な引きつり、一時的な内出血の可能性、左右差、感染など |
| 費用 | BARBⅡアンカーセット(5本×2セット)¥346,500(税込) ※2026年 2月現在 |
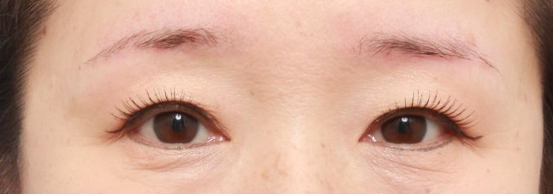
公開日:2026.02.18
before

after
| 治療名 | 眉毛下リフトアップ術(眉毛下皮膚切除術) |
|---|---|
| 治療内容 | 厚いまぶたのせいで、目がパッチリ開いていないように見える 眉下から皮膚を取り去り上眼瞼の開きを改善させる手術を行った |
| リスク | 術後は腫れや内出血、傷の赤みが生じる可能性あり |
| 費用 | 420,000円(税込、両側)2026年 2月現在 |
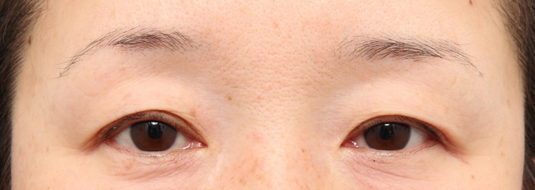
公開日:2025.11.07
before
after
| 治療名 | 挙筋腱膜前転術+他院埋没糸抜去 |
|---|---|
| 治療内容 | 他院で埋没法を行い、糸の緩みと瞼の開きが気になり来院。 挙筋腱膜前転術+他院埋没糸抜去を行いました。 上下、黒目の位置も安定し、瞼の開きも良くなっています。 経過 抜糸7-10日目 お化粧の目安10日目くらい |
| リスク | 術後は一時的な腫れ、内出血、キズの赤みの可能性。感染など。 開瞼量、左右差は一般的に4-6ヶ月で安定。 切開線の傷は3ヶ月くらいの赤み、6ヶ月は食い込みの可能性。 |
| 費用 | 挙筋腱膜前転術(全切開法含む) 440,000円(両側・税込)+他院埋没糸抜去140,000円(両側・税込) 2025年 11月現在 |
公開日:2025.11.07
before
after
| 治療名 | 全切開二重術(平行二重)+目頭切開(Z形成術) |
|---|---|
| 治療内容 | Z形成術による目頭切開のコツは大きな皮弁を取らないこと、後戻りさせないような工夫をすることがポイントです。 きれいなキズになりやすいZ形成術ですが、キズは残りますといつも説明しています。 形成外科専門医と美容外科(JSAPS)学会認定専門医を取得するレベルが求められる技術です。 私の全切開は睫毛側へ眼輪筋下で剥離し固定は瞼板内に固定します。固定の仕方は小技を施してあります。 全切開二重術のキズは6ヶ月くらいは食い込みがあるくらいの方がいいです。1ヶ月で平な傷跡だと全切開でも緩んでしまうと思います。 目頭切開はどんなにきれいになる方でも3ヶ月くらいは赤く盛り上がることがあります。 |
| リスク | 二重は3ヶ月くらいで想定のラインに近づきます。 左右差の可能性、二重が緩む可能性、キズが気になる可能性など。 目頭切開のキズは3ヶ月位、赤く膨らむことがあります。 傷跡の残存など。 |
| 費用 | 【全切開二重術】330,000円(両側 税込) 【目頭切開】300,000円(両側、税込) 2025.11月現在 |
公開日:2025.07.20
before
after
| 治療名 | 下まぶたハムラ法(目袋修正) |
|---|---|
| 治療内容 | 局所麻酔で眼窩縁まで剥離をして、膨らみの原因である眼窩脂肪を下方に伸ばして眼窩縁に固定し形態をなめらかにします。脂肪は極力切除せず隔膜の緊張で押さえ、ハリを作るために眼輪筋弁を外側に緊張をかけて固定します。 また、ティアトロフ(内側のくぼみ)は眼窩脂肪を拡げ隔膜で固定することで軽減させています。 年齢を感じさせる下まぶたの膨らみが解消され、自然で若々しい目元になりました。 |
| リスク | 腫れや内出血があります。傷の食い込み感がでることもあります。 |
| 費用 | 両側 440,000円 2025年7月現在 |
公開日:2025.04.03
before
after
| 治療名 | 二重まぶた埋没法 |
|---|---|
| 治療内容 | 腫れや内出血は数日くらい。ラインは約1ヶ月くらいで想定ラインに近づきます。 |
| リスク | 内出血・ゴロゴロ感・糸の露出・ラインの消失など。 |
| 費用 | 140,000円(税込) 2025年 3月現在 |
公開日:2025.02.17
before
after
| 治療名 | 眉間のボトックスVISTA注射 5回目 |
|---|---|
| 治療内容 | 眉間へのボトックス注射(5回目)を行いました。 作用は3日くらいで出現し、7日くらいで安定してきます。 |
| リスク | 注入直後の腫れ、赤み、内出血が見られることがあります。 |
| 費用 | ボトックスVISTA 1回 27,500円 (税込) ※使用量は個人によって異なります。2025年 2月現在 |
公開日:2025.02.17
before
after
| 治療名 | ほうれい線の改善(ジュビダームビスタ®ボリューマXC) |
|---|---|
| 治療内容 | 厚労省認可のヒアルロン酸を注入してほうれい線の改善 |
| リスク | 一時的な赤み、内出血の可能性。感染。 万が一の時はヒアルロニダーゼでヒアルロン酸は溶解可能です。 |
| 費用 | ジュビダームビスタ®ボリューマXC 88,000円 (税込) ※使用量は個人によって異なります。2025年 2月現在 |